Способы оперативного лечения сколиоза
Операция при сколиозе проводится при переходе заболевания в 3–4 стадию. На ранних сроках используется ЛФК, ношение специальных корсетов, другие методы консервативной терапии. Хирургическое вмешательство уменьшает искривление позвоночника, устанавливая металлические платины и другие конструкции. Перед операцией проводится подготовка и диагностика больного. После лечения требуется длительный восстановительный период.

Показания
Оперативное лечение сколиоза возможно только в некоторых случаях. Основные показания:
- Частые спинные боли, что невозможно убрать таблетками.
- Паралитический сколиоза.
- Болезнь Бехтерева.
- Сильное искривление.
- Прогрессирующая болезнь, переходящая в 3 степень или 4-ю степень, когда положение позвоночного столба меняется на 15 градусов в год.
- Угол искривления более 50 градусов у взрослых и больше 45 у детей.
Если угол позвоночного столба изменяется, доходит до 60 градусов, то операция выполняется в срочном порядке. Такое искривление нарушает работу всех органов, значительно портит качество жизни, иногда приводит к смерти.
Есть противопоказания для оперативного лечения сколиоза, среди которых:
- Развитие болезни в результате нейромышечных патологий.
- Сколиоз Клиппеля-Фейля.
- Болезни дыхательной системы, хронической формы.
- Сбои кровообращения в острой форме.
- Старость пациента.
Операция проводится детям, противопоказаний в данном случае нет.
Эффективным оперативным вмешательством считается время, когда кости уже не растут. При острой надобности процедура проводится детям 6-летнего возраста, когда позвоночный столб имеет тенденцию к росту. Исключение только косметическая цель.
Для лечения сколиоза в России при помощи операции используют разные технологии. Чаще внедряются штифты, пластины и другие конструкции из металла. Используют на позвоночниках подвижные и неподвижные конструкции. Для взрослых пациентов применяют неподвижные, что фиксируют позвонки. Детям и подросткам устанавливают подвижные устройства, из-за роста скелета. За счет этого конструкция растет вместе со скелетом.
Есть много новейших технологий, чтобы сделать операцию. Распространенными и новыми можно назвать:
- Способ Харрингтона. Позвоночник фиксируют с помощью стержней и крюков из титана. Время проведения операции составляет примерно 3 часа, после процедуры пациенту назначается ношение корсета. Метод нельзя применять при 4 степени болезни. Данная операция может улучшить ситуация при угле отклонения не больше 60 градусов.
- Метод Цильке. Позволяет непросто убрать искривление, но и избавляет от ущемленных нервов, что снижает боли в спине. Фиксация проводится с обеих сторон позвонков, при помощи стержней и винтов. После операции надо носить корсет.
- Способ Люке. В искривленный участок ставится устройство цилиндричной формы, с проволоками. Позвоночник устанавливается в нужное положение, крепко фиксируется, поэтому больному нет потребности использовать корсет во время восстановления.
- Метод Котреля-Дюбуссе. Позвоночник становится в нужное положение при помощи прутьев и крюков, создается крепкая конструкция. После операции потребность в корсете отпадает.
- Способ Казьмина-Фищенко. Применяется в отечественных больницах, методика разработана советскими учеными, позволяет помочь человеку с 3 степенью сколиоза.
- Способ Роднянского-Гупалова. В позвоночник устанавливают 1–2 пластины, исходя из состояния пациента. Также часто используется в больницах, методика подойдет для сколиоза последней степени.
Данные операции позволяют выровнять спину на 70%. В штатах и европейских странах хирургические процедуры используются очень часто, а их успешность почти 100%. В России ситуация немного другая. Из-за недостатка оборудования, операции проводятся старыми способами, что весьма травматичны для пациентов. По этой причине появляются осложнения после операций, к примеру, переломы, повреждения нервов, паралич.
У слабых больных может быть реакция на использование анестезии, а хронические болезни способны переходить в острую форму. Для исключения осложнений, операция должна проводиться компетентными докторами, в хорошей клинике.
Подготовительный этап
Проведение операции часто проводится в срочном порядке, за счет чего подготовка к процедуре практически отсутствует. Лучше всего обратиться к медикам заранее. Тогда больному назначаются процедуры по вытяжению, проводится исследования, а после выполняется хирургическое вмешательство. Вытяжение делается при помощи корсета или в положении лежа. Метод улучшает циркуляцию крови в деформированной части спины, функции связок и мышц. Все это дает возможность специалисту подобрать схему терапии и вид лечения для максимальной результативности.
Во время подготовки делается рентгенография или КТ, УЗИ органов, сдаются все анализы. При плановом лечении врач подбирает оптимальную терапию. Если анализы указывают на воспаление или инфекции, то до операции нужно пройти лечение, избавиться от возбудителей. Правильная подготовка исключает вероятность появления осложнений.
Ход операции
Средняя продолжительность операция по исправлению сколиоза длится на протяжении часа, в некоторых случаях процедура занимает до 3 часов. Изначально вводится анестезия, потом используют аппаратные и нейрохирургические средства, чтобы сократить травматизм.
Специалист выбирает популярные методы выправления спины при сколиозе, фиксирует его конструкцией состоящей из пластин, крюков и других элементов. Если искривление очень большое, может проводиться протезирование. Если есть деформации грудной части или поясницы, то медики применяют винты, связывают их с другими позвонками. Участок после этого не сможет двигаться, что сокращается вероятность повторного искривления. В шейной части врач удаляет позвонок, ставится протез.
В России современные методы используют только единичные клиники, поскольку нужное оборудование дорогое, есть не у всех. Операция получается травматичной, а методы хирургического вмешательства старые.
Сколько стоит?
Клиник, предоставляющих подобные услуги в России много, многие используют современные методы лечения и цены отличаются.
В Москве средняя стоимость выравнивания позвоночника следующая:
- Трансторакальная коррекция – операция дает возможность придать правильную форму, объединяя несколько частей и делая их менее подвижными. Стоимость около 100 тыс. рублей.
- Торакофренолюмботомию – используется при запущенном сколиозе. Проводят разрез груди для исправления формы, используется метод при большом угле искривления, снимает боли, исключает повреждения внутренних органов. Стоимость от 110 тыс. рублей.
- Дорсальным способ – соединяются позвонки в один сегмент. Операция выполняется при 3-4 степени сколиоза, при болезнях органов дыхания и сердца. Стоимость от 95 тыс. рублей.
В области цены будут ниже, но вмешательство может проводиться при «чистом» сколиозе, когда аномалия врожденная, нет повреждений, заболеваний суставов и прочих отклонений.
Если финансовое положение позволяет, есть время, врач может направлять больных в зарубежные клиники. Стоимость операций варьируется, будет 40–250 тыс. долларов. Сумма большая, но качество на высоте, осложнения появляются в редких случаях.
Цена лечения в Чехии – 17 тыс. евро, в штатах и Израиле от 50 тыс. долларов, в Германии около 35 тыс. евро.
Больные с тяжелым протеканием болезни, когда консервативная терапия не помогает, могут получать квоту от государства для проведения операции бесплатно. Вся процедура занимает много времени. Среднее ожидание квоты от нескольких месяцев, до года. В редких случаях возможно вмешательство без очереди, когда нужно экстренное лечение.
Реабилитация
Даже при очень качественном выполнении лечения больному нужен правильный послеоперационный период для восстановления. В медицине не существует стандартных приемов, которые подойдут для любого человека, но примерная схема реабилитации следующая:
- В первые 3–4 суток пациент должен только лежать. Возможно небольшое движение в кровати, чтобы расслабить мускулатуру, исключить тромбоз. Последнее особенно важно для старых больных.
- Через неделю пациенту можно вставать и ходить по палате. В это время проводится контрольная рентгенография, позволяющая оценить восстановление организма, заживление тканей.
- На 10 день назначают массаж и разминку ног.
- Через 3 месяца проводится диагностирование больного при помощи КТ, но в России чаще используют рентгенографию.
- Нередко в ходе реабилитации, которая может быть до полугода, необходимо использовать корсет для поддержания позвоночника.
Жизнь после операции на исправление сколиоза изменяется к лучшему. Женщины могут даже при 4 степени сколиоза и его лечении вынашивать детей. Из отзыва 14-летней девочки: «После лечения и реабилитации на протяжении 3 месяцев я пошла в школу и начала радоваться жизни в полной мере».
Прогноз
После лечения пациентам запрещается:
- Подымать тяжелое и нагружать спину, все тело.
- Делать резкие движения туловищем.
- Висеть на турнике.
- Долго сидеть.
- Заниматься спортом с повышенной двигательной активностью.
- Проводить любые упражнения без докторского согласования.
Подобные меры позволят избежать смещений и рецидивов. Многие пациенты указывают на долгое восстановление, но прогноз при выполнении всех требований благоприятный. Некоторые указывают, что пластины и другие конструкции ощущаются, время от времени немеют лопатки. Через несколько недель организм адаптируется и привыкает. Чем старше больной, тем сложнее восстановление, а при 4 степени болезни исправить позвоночник полностью невозможно.
Решившись на операцию, больной сможет полностью восстановиться на протяжении года. После этого качество жизни значительно улучшается, можно работать, ездить по миру, без неприятных ощущений. За счет металлических конструкций некоторые движения будут скованными, но в быту, для ухода за собой это не помеха.
Способы хирургического лечения сколиоза
Операция при сколиозе запущенных форм — единственный способ, помогающий избавить пациента от дефекта в области спины и сильного болевого синдрома. Ранние стадии патологии лечат консервативными методами. На операцию соглашаются тогда, когда проводимое лечение не способствует улучшению состояния человека.

Показания к операции
Хирургическое лечение сколиоза назначается в крайних случаях, манипуляция может иметь опасные для жизни и здоровья последствия. Показанием к операции при деформации позвоночника во фронтальной плоскости является выраженный болевой синдром, который невозможно купировать стандартными методами. По этой причине выполняется большинство хирургических вмешательств. Такое лечение может применяться и при быстром увеличении искривления позвоночника. В том случае, если угол изгиба превышает 40°, врач принимает решение о необходимости операции. В таком случае наблюдается нарушение функций сердечно-сосудистой и дыхательной систем.
Некоторые люди решаются на хирургическое вмешательство из-за наличия косметического дефекта. Перед специалистом, занимающимся исправлением сколиоза, стоит несколько задач.
- В первую очередь, нужно сделать изгиб позвоночника максимально приближенным к физиологическому.
- Во-вторых, пациенты нуждаются в избавлении от компрессионного синдрома, возникающего при сдавливании спинного мозга.
Операция должна быть направлена на предотвращение дальнейшей деформации. Исправить сколиоз хирургическим путем возможно на заключительном этапе формирования скелета (в 16–20-летнем возрасте).
Операция на позвоночнике у взрослых помогает избавиться от последствий искривления. При наличии сопутствующих патологий полная коррекция дефекта невозможна.

Экстренная операция может проводиться в любом возрасте, если деформация становится опасной для жизни человека. Такая ситуация наблюдается при выраженной компрессии спинного мозга, выпячивании межпозвоночного диска. Оперативное лечение сколиоза считается сложной методикой. При его проведении необходимо проявлять особую внимательность, ведь малейшая ошибка может привести к инвалидизации пациента.
После операции позвоночник приобретает нормальное положение, что становится непривычным для человека, ведь организм привык к другому состоянию. На этом фоне в течение некоторого времени наблюдаются симптомы нарушения кровообращения и иннервации органов. Для их устранения назначается специальное лечение.
Для избавления от подобной деформации используется несколько типов хирургических вмешательств:
- выпрямление и фиксация позвоночной оси;
- исправление физических недостатков;
- восстановление симметрии мышечного каркаса;
- исправление аномалий строения костей.
При сколиозе 3–4 степени выполняется несколько типов операций одновременно.
Подготовка и проведение
Операция по исправлению сколиоза в большинстве случаев проводится в экстренном порядке, поэтому пациент может не успеть пройти подготовку.
Вмешательство является сложным, важное значение имеет психологический настрой человека. Длится оно не менее 60 минут, что является показанием к постановке общего наркоза. После операции необходимо пройти курс реабилитации, помогающий вернуться к привычной жизни.
Для начала пациент проходит детальное обследование. Обязательной является рентгенография пораженных сегментов позвоночника в разных проекциях. Она помогает установить степень патологических изменений и подобрать тип хирургического вмешательства.
В первые сутки после операции необходимо соблюдать постельный режим. Допускаются минимальные движения верхними и нижними конечностям. Вставать можно только через 7 дней. В это же время проводится контрольное рентгенологическое исследование и начинаются занятия ЛФК. Массаж ног осуществляют на 7–10 сутки после операции на спину. После устранения сколиоза 4 степени показано ношение поддерживающего корсета .
Повторные рентгеновские снимки или КТ назначают через 3 месяца.
Реабилитация у подростков длится не более полугода, что связано с высокой способностью организма к восстановлению. У взрослых этот период занимает более года и требует регулярного выполнения специальных упражнений.
Технология выполнения операции
Большинство манипуляций выполняется эндоскопическим методом с минимальным повреждением тканей. Исправление сколиоза осуществляет путем внедрения фиксирующих устройств. Они закрепляют сегменты в нормальном положении и устраняют их патологическую подвижность. Металлические стержни могут быть подвижными или статичными. Первые применяются при лечении сколиоза у молодых людей, у которых формирование скелета еще не завершилось. Вторые отличаются более низкой ценой и используются при искривлении позвоночника у взрослых.

Операция Харрингтона подразумевает фиксацию позвонков с помощью специальной конструкции, состоящей из крючков и стержня. Последний устанавливается на искривленной стороне, крючки помогают придать позвонкам физиологическое положение. На выпуклой стороне ставится второй стержень, который ограничивает подвижность во фронтальной плоскости. Вмешательство длится около 3 часов, оно не применяется для лечения сколиоза 4 степени.
Метод Котреля-Дюбуссе отличается от предыдущего отсутствием необходимости последующего ношения ортеза. Используемая во время операции конструкция состоит из скоб и гибких стержней.

Способ Люке подразумевает монтаж специального приспособления, состоящего из цилиндра и проволоки. Конструкция считается стабильной и не требует применения корсета.
Операция Цильке применяется не только для устранения искривления, но и для лечения компрессионного синдрома. Используется несколько парных деталей, которые надежно закрепляют позвонки. После установки контрукции пациенту придется долго носить корсет.
Квота на операцию позволяет существенно сократить затраты. В отечественных больницах лечение проводится по методу Чаклина, Гаврилова, Фищенко, Казьмина.
Операция Котреля-Дюбуссе в американских клиниках стоит не менее 250 тысяч долларов. В нашей стране она имеет более низкую стоимость. Однако осложнения возникают чаще.
Корректор Роднянского-Гупалова состоит из одной или нескольких пластин. С его помощью исправляют диспластический сколиоз, сопровождающийся деформацией отдельных позвонков. Подобная ситуация возникает при синдроме Шейермана-Мау (юношеском сколиозе).
Показания и противопоказания к хирургическому лечению сколиоза
Сколиоз – сложная деформация позвоночника, которая не только обезображивает тело больных, но и вызывает значительные нарушения функции сердечно-сосудистой и дыхательной систем, ограничивая тем самым трудоспособность больных и причиняя им тяжелые физические и моральные страдания. Данные некоторых исследователей свидетельствуют о том, что средняя продолжительность жизни нелеченых больных с тяжелыми формами сколиотической болезни составляет 35-40 лет. Консервативное лечение этого заболевания не дает положительного эффекта у 16% больных (Фищенко В.Я, 1973), а при прогрессирующих формах сколиоза не позволяет остановить дальнейшее прогрессирование процесса, не говоря уже об исправлении деформации позвоночника. В связи с этим возникает необходимость хирургического лечения тяжелых форм сколиоза у детей и подростков с целью прерывания прогрессирования деформации, ее исправления и создания более благоприятных условий для функции внутренних органов и уменьшения косметического дефекта. Кроме того, положительный результат лечения возвращает больным душевный покой, жизнерадостность и дает возможность трудиться в коллективе.
Хирургическое лечение тяжелых форм сколиотической болезни относится к числу наиболее сложных и далеко не решенных проблем современной ортопедии. Несмотря на значительные успехи в этой области вертебральной хирургии, результаты хирургического лечения больных, страдающих сколиотической болезнью, еще далеко не всегда благоприятны. В последнее время методы оперативного лечения сколиоза подвергались пересмотру и появились новые виды хирургических вмешательств, обоснованные теоретически и проверенные практически.
Решение вопроса о хирургическом лечении требует патогенетического и индивидуального подхода. Необходимо, чтобы хирург знал характер и особенности течения сколиоза, четко представлял себе цель операции, предвидел результат лечения, учитывал риск предстоящего вмешательства и возможные осложнения в послеоперационном периоде. Цель хирургического лечения сколиоза в конечном итоге – остановка прогрессирования процесса, коррекция искривления позвоночника и стабилизация его.
Можно сказать, что у детей и подростков уже само искривление позвоночника IV степени является показанием к оперативной коррекции деформации позвоночного столба. Одна известно, что в большинстве случаев при такой тяжелой степени деформации хирургические вмешательства оказывают весьма паллиативными, поскольку улучшаются только показатели функции внешнего дыхания, а гипертензия в малом круге кровообращения часто сохраняется. Отсюда следует, что необходимо оперировать больных до того, как у них разовьется искривление позвоночника IV степени. К сожалению, это не всегда возможно, так как больные часто обращаются к ортопеду слишком поздно. При установлении показаний к хирургическому лечению необходимо основываться на рентгенологических признаках возможного прогрессирования заболевания, к которым, как мы уже указывали, относятся: отставание локального костного возраста позвоночника от паспортного, наличие I-II степени патологической перестройки межпозвонковых дисков на ранних стадиях развития сколиотической деформации, отсутствие оссификации апофизов гребней подвздошной кости, остеопороз позвонков на вершине искривления. Большое значение имеет динамическое наблюдение за течением заболевания. Использование перечисленных рентгенологических признаков в сочетании с данными клинического обследования позволяет прогнозировать течение сколиоза и выбрать наиболее рациональный метод лечения.
Показания к хирургическому лечению сколиоза
- Прогрессирующие. несмотря на систематическое консервативное лечение, сколиоз III-IV степени (с углом искривления > 50°) с начальными или выраженными нарушениями функции сердечно-сосудистой и дыхательной систем и незаконченным ростом позвоночника. Прогрессирующими мы считаем сколиозы, при которых последовательно сделанные рентгенограммы показывают заметное увеличение деформации (более 15° в год), несмотря на проведенное консервативное лечение. Что же касается нарушения функции внешнего дыхания, то здесь довольно трудно точно определит при какой его степени показано хирургическое лечение сколиоза. У детей в возрасте до 14 лет уменьшение ЖЕЛ не более чем на 20 от нормы является относительным показателем к операции. Нижнюю границу функции как противопоказание к операции едва ли следует называть, хотя она существует, в частное при плохом общем состоянии ребенка с отсутствием резервов.
- Сколиозы определенного происхождения, которые, как известно из опыта, постоянно прогрессируют до тяжелых очень тяжелых степеней деформации (сколиоз на почве нейрофиброматоза, бурно прогрессирующие врожденные сколиозы на почве нарушения сегментации). При таких сколиозах одновременно с коррекцией деформации необходима костно-пластическая фиксация позвоночника независимо от возраста больного. Раньше ортопеды, как правило, не рекомендовали оперативные вмешательства при сколиозе у детей до 10-11 лет (Чаклин В.Д., 1965). В настоящее время ряд ортопедов так строго не придерживаются возрастных границ (Цивьян Я.Л., 1966; Баиров Г.А. и др., 1971, 1977). Нам кажется, что возрастная граница оперативного лечения прогрессирующих форм сколиотической болезни должна быть снижена. При определений показаний к хирургическому лечению сколиоза не следует на первый план ставить возраст ребенка, так как основным является характер клинического течения заболевания. Как известно, существуют злокачественные формы сколиотической болезни, когда у детей 6-7 лет дуга искривления позвоночника превышает 60-70° и консервативное лечение у большинства таких больных безуспешно. В отличие от сколиозов на почве нейрофиброматоза, современные возможности хирургического лечения сколиоза позволяют осуществлять те или иные хирургические вмешательства у детей такого возраста без костно-пластической фиксации позвоночника.
Паралитические сколиозы с распространенным параличом или парезом мышц туловища, выраженной деформацией позвоночника и грудной клетки, требующие восстановления недостаточной статической функции позвоночника. У таких больных протяженность костно-пластической фиксации, как правило, должна быть большей. При очень тяжелых деформациях по индивидуальным показаниям задний спондилодез может быть осуществлен и у детей младше 10 лет.
Выраженные кифосколиозы, требующие оперативного вмешательства по косметическим показаниям, особенно у лиц женского пола. По этим показаниям оперативное вмешательство производится и после завершения роста больных.
Выраженный прогрессирующий кифосколиоз с угрожающим или существующим парезом или параличом на почве сколиотической деформации.
Сколиозы, сопровождающиеся неврологическими расстройствами (прогрессирующий болевой синдром), и сколиозы с недостаточностью опорной функции позвоночника. В таких случаях часто хирургические вмешательства показаны у подростков после завершения роста или у взрослых больных.
Противопоказания к хирургическому лечению сколиозов
- Непрогрессирующий или медленно прогрессирующий сколиоз I и II степени у больных любого возраста.
- Врожденные сколиозы шейного отдела позвоночника (типа болезни Клиппеля – Фейля) и сколиозы на почве некоторых нейромышечных заболеваний (болезнь Дюшенна, миопатия).
- Грубые изменения внутренних органов (пороки сердца, патологические изменения в печени и т. д.) у ослабленных и истощенных больных.
- Врожденные изменёния органов дыхания и сердечно-сосудистой системы в стадии декомпенсации (декомпенсация сердечно-сосудистой системы III степени и снижение показателей функции внешнего дыхания более 70% от возрастной нормы.
- Тяжелейшие ригидные кифосколиозы IV степени с длительным анамнезом (8-10 лет), ранее не леченные.
Показания и противопоказания к хирургическому лечению сколиозов изложены в общих чертах, так как к каждому конкретному больному необходим индивидуальный подход с учетом особенностей течения заболевания.
Операция при сколиозе: подготовка, проведение и возможные последствия

Сколиоз – это деформация боковой оси позвоночного столба. На последних стадиях, заболевание характеризуется серьезными дисфункциями внутренних органов и ближайших мягких тканей. Перекашивание позвоночника в одну из сторон, выпирание лопаток, асимметричность расположения плеч по отношению друг к другу, деформация линии бедра все это приводит к развитию неправильной осанки и пропорций всего тела.

Показания к оперированию при сколиозе
Сколиотическая болезнь вполне способна привести к формированию серьезных осложнений, к таким как заболевания сердечно-сосудистой системы, инвалидность и патологии легких. Всего различают две группы показаний для хирургического вмешательства при сколиозе: плановые и экстренные.
К плановым показаниям можно отнести:
- Сильный болевой синдром, не стихающий даже в состоянии покоя.
- Повреждения спинного мозга.
- Паралич конечностей.
- 4 стадия заболевания, которая негативно сказывается на внешнем виде.
- Стремительное развитие патологии от 15 градусов в год.
- Отклонения от нормы более чем на 50 градусов.
Экстренные показания это – отклонение от оси более чем на 60 градусов, которое сопровождается сильным поражением внутренних органов.

Насколько эффективна операция при сколиозе
Хирургическое вмешательство при сколиотической болезни необходимо, когда консервативные способы лечения патологии, являются малоэффективными. Важно знать, что на последних стадиях заболевания, даже после оперативного лечения сколиоза полностью победить патология не возможно.
При помощи операции вполне можно добиться видимых результатов. Врачи устранять сильную деформацию позвоночника, выровняют его при помощи специальных фиксаторов. В результате человек получит красивую осанку и здоровье внутренних органов.
Подготовка к операции
Подготовка к операции по исправлению сколиоза – это довольно длительный этап. Продолжительность подготовки обычно занимает от 2-х до 3-х месяцев. Пациент должен пройти обследование всех систем организма, чтобы врачам понять в каком состоянии находится общее здоровье пациента. Обязательными процедурами во время подготовки к операции являются:
- Рентгенографическое исследование;
- Сбор биоматериала (кровь, моча, кал);
- Ультразвуковое исследование.
При выявлении инфекционного заболевания, врачи назначают антибактериальную терапию для устранения инфекции. Иногда доктора в качестве подготовки к операции, применяют так называемую методику вытяжение позвоночника при помощи корсета или специальными упражнениями. Такой способ приводит в норму кровообращение в зоне поражения позвоночника и ближайших соединительных тканей. Благодаря подготовке к операции можно сократить риск развития негативных последствий после операции.
Подготавливаться к операции на позвоночнике при сколиозе нужно будет и в домашних условиях. Для этого нужно соблюдать некоторые правила:
- Избегайте возникновения стрессовых и депрессивных состояний;
- Регулярно выполняйте дыхательную гимнастику;
- Соблюдайте диету для снижения массы тела;
- Больше отдыхайте;
- Не нагружайте позвоночник.
Виды и способы оперативного лечения сколиоза
| Вид операции | Способ проведения |
| Метод Харрингтона | Выполняется фиксация позвонков, при помощи специальных металлических стержней и крючков из титана. Длительность операции не превышает 3-х часов. В послеоперационный период больному назначают ношение корсета. Данный метод хирургического вмешательства применяется при отклонении от оси не более чем на 60 градусов. |
| Способ Роднянского-Гупалова | Позвоночник фиксируют двумя титановыми пластинами, при этом всегда ориентируясь на самочувствие пациента. Такой способ применяется для операции сколиоза 4 степени. |
| Способ Люке | В деформированные позвонки крепятся специальные цилиндрические устройства, с проволоками. После чего позвонки ставятся в необходимом положении, надежно фиксируются. Благодаря чему в послеоперационный период человеку не нужно использовать корсет для фиксации спины. |
| Способ Казьмина-Фищенко. | Методика разработана отечественным ученым для операции сколиоза 3 степени . Поскольку на крайней степени данный способ не даст необходимых результатов. |
| Метод Цильке | Этот способ поможет не только устранить деформацию, но и устранить защемленные нервные волокна, из-за которых человек испытывает сильнейшую боль. Хирурги фиксируют позвонки сразу с двух боковых сторон, при помощи винтом и титановых стержней. После процедуры пациенту назначается корсет. |
| Метод Котреля-Дюбуссе. | Позвоночный столб ставиться в исходное положение при помощи крючков и тонких стержней, благодаря которым получается надежная фиксация позвонков. В период реабилитации носить корсет нет необходимости. |
Приведённые хирургические методики для лечения тяжелой степени сколиоза эффективны в 70% случаев. Но надо отметить, что в России для проведения таких вмешательств используются еще старые методы, которые являются травматическими для больных. Из-за чего и возникают осложнения после операции.

Реабилитация и жизнь после операции
Даже при качественной операции пациенту необходим профессиональный уход и курс по восстановлению организма. На сегодняшний день в медицинской практике нет каких-либо стандартных методов реабилитации для каждого пациента, поскольку курс восстановления — это индивидуальная процедура. Но примерная схема курса по восстановлению выглядит следующим образом:
- В первые несколько дней человек перенесший операцию должен соблюдать строгий постельный режим. Конечно, аккуратно можно двигаться на постели, но не вставать. Движения на кровати необходимы для того, чтобы предотвратить риск развития тромбозов и напряжения позвоночника.
- Только через 7 дней человеку разрешено аккуратно вставать и ходить по палате. На восьмой день проводится крайняя рентгенография, которая позволяет оценить состояние позвоночника и степень его восстановления после операции.
- Через 10 дней после операции человеку назначают массаж спины и ног.
- На 90 сутки проводится компьютерная томография для диагностирования степени искривления после операции (все зависит от стадийности сколиоза).
- Довольно часто в процессе реабилитации больному прописывают корсет, на весь восстановительный курс (до 6 месяцев).
Сразу после окончания курса реабилитации, который обычно длиться от 5 до 12 месяцев, пациенту необходимо на протяжении всей жизни соблюдать некоторые правила:
- Не сидеть в одном положении слишком долго, поскольку увеличивается статистическое напряжение на позвоночник.
- По возможности не находитесь в одно положение длительное время, даже стоять долго не рекомендуется.
- Строго запрещается поднимать тяжести более 10 килограмм.
- Активный спорт запрещен, в том числе выпады и повороты корпусом.
- Занимайтесь лечебной физической культурой на протяжении нескольких лет, это поможет укрепить мышечный корсет спины.

Возможные последствия операции при сколиозе
Достаточно часто после операции наблюдаются следующие негативные последствия:
- Поскольку операция делается на позвоночнике или же рядом с ним есть риск повреждения спинного мозга или нервных окончаний.
- Сильная фиксация позвоночника делает просто невозможным дальнейший рост, в особенности это не лучшим образом сказывается, если операцию планируют проводить у ребенка.
- Из-за этой же фиксации позвоночник становится менее гибким, что снижает амплитуду движения.
- Деформация внутренних органов человека после устранения искривления, сколиоза на крайней стадии, становится причиной нарушения работы разных систем в организме.
- Реабилитационный период может осложниться образованием тромбов.
В заключение
Человек с 4 степенью сколиотической болезни живёт не дольше 35-40 лет. Но решившись на операцию, вы должны осознавать, что не просто устраняете заболевание, а делаете долгой собственную жизнь — единственную и неповторимую.
Операция при сколиозе
В комментариях к прошлому посту была просьба написать о том, как сейчас лечат сколиоз с помощью хирургических методик. Я не стал откладывать в долгий ящик.
Но для начала несколько предупреждений.
Первое. Пост содержит материалы и видео не для слабонервных. Бывало, что некоторым гостевым хирургам становилось плохо, когда они присутствовали на операциях по коррекции сколиоза. Не смотря на то, что все представленные здесь материалы находятся в свободном доступе, я вас предупредил.
Второе. Я постарался максимально упростить тему, потому что она для широкой публики, да и в противном случае получилось бы слишком занудно (хотя так и так получилось занудно, коммуникативные навыки хирургов стремятся к нулю). Если что-то будет непонятно, постараюсь ответить в комментариях.
Третий момент. Сколиозы по причине возникновения бывают разными. Здесь я буду рассматривать подростковый идиопатический сколиоз, потому что это самая распространенная деформация позвоночника. Если будет нужно, о других деформациях (врожденный, ранний идиопатический, нейромышечный, дегенеративный сколиозы, болезни Шейермана-Мау, Бехтерева и прочее) я напишу отдельно.
Мне не хочется провоцировать спор на тему консервативное vs оперативное лечение. Поэтому приведу тут показания, согласно которым оперируют идиопатический сколиоз в подростковом возрасте:
1. Болевой синдром, который не удается контролировать с помощью нехирургических методик лечения
2. Незрелый скелет (подробности ниже) с величиной деформации более 50 градусов
Косметический дефект – крайне спорное показание для операции. В конце концов при деформации меньше 50 градусов хорошо развитые мышцы спины сильно сглаживают все дефекты.
Если кто-то категорически не согласен с этими показаниями по каким-либо причинам, пожалуйста, приводите аргументы в пользу других методов в виде снимков до и после.

Изменения позвоночника при сколиозе
Сколиоз – это многоплоскостная деформация. Суть в чем, в норме наш позвоночник имеет изгибы в сагиттальной плоскости: шейный и поясничный лордоз, грудной кифоз.

При сколиозе эти изгибы уменьшаются (изменение в сагиттальной плоскости), появляются сколиотические дуга/дуги (изменение фронтальной плоскости).

Но это не все, позвонки в зоне деформации (изменение в аксиальной плоскости) сворачиваются своей центральной частью внутрь, а задними элементами наружу (торсия). На картинке ниже справа нормальный позвонок, а слева измененный позвонок, желтая точка – проекция спинного мозга в позвоночном канале.

Эта ротация изменяет строение позвонков. Если гипотетически взять и распрямить позвоночник, не фиксируя его ничем, то он вновь скрутиться из-за измененной анатомии.

Из-за торсии происходит скручивание грудной клетки (ребра прикрепляются к позвонкам), появляется реберный горб.


Еще один важный момент. Замечено, что сколиоз часто передается по наследству. Если у родителя идиопатический сколиоз, то и у ребенка (особенно девочки) развитие сколиоза крайне вероятно.

Что бы понять откуда болевой синдром, попробуйте посидеть пару часов, наклонившись вбок. Или пару лет. Или пару десятков лет. Сначала начинают болеть мышцы из-за асимметричной нагрузки. При мышечных болях как раз эффективны физкультура, массажи, хиропрактика и прочее.
Между каждыми позвонками находятся по 3 сустава: межпозвоночный диск и парные фасеточные (межпозвоночные/дугоотросчатые) суставы. Фасеточные суставы расположены сзади и по бокам.

Если мышцы слабые, то всю нагрузку берут на себя опорные элементы позвоночника. Вдобавок малый объем мышц провоцирует недостаток питания для костей и связок, потому что кость – это дерево, обращенное корнями в мышцы. Замечу, что плохой “мышечный корсет” и малая физическая активность – довольно однотипная отправная точка для всех заболеваниях позвоночника.
При сколиозе изгибы позвоночника переходят во фронтальную плоскость, получается, что на один из фасеточных суставов приходится нагрузка намного больше, а на другой совсем маленькая. Ну прям как финансовое бремя у нас в стране. Естественно при таком положении вещей суставы, на которые приходится нагрузка больше начинают жаловаться нашему мозгу, посылая сигналы о боли и дискомфорте.

При больших деформациях могут еще и нервы “защемляться”. Но не грыжами, а просто между позвонками, когда межпозвоночные отверстия экстремально сужены. При сильном сколиозе внутренние органы (легкие, сердце) работают не в правильном режиме, из-за того, что им мало места. В некотрых случаях это может являться показанием к операции.
Идиопатический сколиоз впервые бывает замечен в детском возрасте. Усиливается в периоды активного роста. В школьные годы он может как прогрессировать, так и становится меньше под воздействием лечебной физкультуры и специальных корсетов. Связано это с незрелостью скелета, он мягкий и довольно эластичный. Однако, после взросления эта эластичность уходит. Кости становятся твердыми. Деформация замирает. Вдобавок присутствует измененная анатомия позвонков (торсия). Все это не даст исправить деформацию при помощи приемов хиропрактики. Возможное исключение – это люди с врожденной гиперэластичностью суставов.
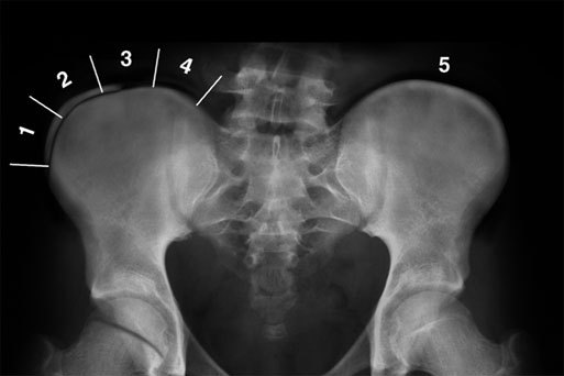
Степень взросления определяется по окостенению тазовых костей по методике, которую описал Joseph Risser. Считается, что 3 степень – самое оптимальное время для операции при наличии показаний. Человек уже не будет активно расти, но позвоночник и спинной мозг достаточно эластичные и смогут без всяких последствий перенести коррекцию даже больших деформаций. Примерный возраст 13-15 лет.

Перед операцией обязательно выполняется рентген. Причем особый. Делаются снимки с захватом всего позвоночника (или всего тела) в двух проекциях спереди и сбоку.

Еще делают снимки с наклонами вбок. Если на этих снимках позвоночник плохо распрямляется при наклоне в сторону дуги, то деформация считается ригидной.

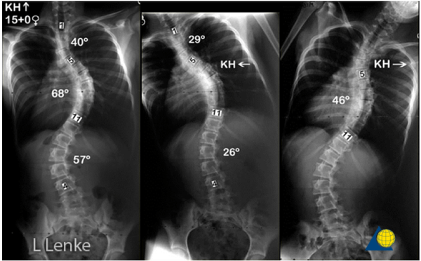
Оценивают идиопатический сколиоз по системе, которую разработал американский хирург Lawrence Lenke. Сейчас это мировой стандарт, она довольно сложна, но ничего лучше пока не придумали.

Классификация Василия Дмитриевича Чаклина (4 степени, которые ставят в поликлиниках) не годится для предоперационного планирования. Посмотрите на картинке ниже насколько отличаются две деформации с одинаковыми градусами кривизны.

Дело в том, что она не предусматривает то, насколько коротко можно зафиксировать сколиоз. А в хирургии деформаций борются за каждый сегмент, который можно сохранить без фиксации. Это крайне важно.

Если деформация ригидная, то оперируют в два этапа.
Первый этап заключается в удалении межпозвоночных дисков на вершине дуги передним доступом. После такой процедуры позвоночник становится мягким. Второй этап проводят через неделю.

Второй этап – самая типичная на сегодня операция по коррекции сколиоза. Выполняется из заднего доступа. Кожа и мышцы рассекаются на протяжении длины всей деформации, которую планируют фиксировать. Задние элементы позвонков освобождаются от всех мягких тканей. Если сколиоз малоподвижен, то проводят остеотомию (рассекают и удаляют части позвонков и соединения между позвонками) на вершине дуги.

После этого устанавливают импланты. Здесь я немного углублюсь в историю, потому что без знания прошлого, невозможно понять достижения настоящего.
Попытки лечить сколиоз с помощью операции предпринимались с начала XX века, но большое число осложнений из-за отсутствия нормальный имплантов обескураживало. В те времена лечили как могли: скручивали позвонки проволокой, привязывали куски ребер и других костей. Все это разваливалось, либо пациенты лежали в гипсовых кроватках по полгода (уж не знаю как там с канабисом дело было).

Прорыв произошел после того, как Paul Harrington разработал имплант, для лечения сколиоза. Дистрактор Харрингтона представлял собой распорку, с помощью которой было возможно поддержать позвоночник как яблоньку в саду. Были и недостатки, дистрактор не восстанавливал нормальные изгибы и не обеспечивал достаточной стабильности для сращения позвонков, и во взрослом возрасте (тогда оперировались в основном подростки) спина начинала болеть.

К 80-м годам благодаря усилиям Eduardo Luque, Yves Cotrel и Jean Dubousset появился “сегментарный инструментарий”. Сегментарный, потому что конструкцией фиксировался каждый позвонок. Благодаря этому стал возможен “деротационный маневр”, суть которого применяется и поныне. Ведь наш позвоночник не просто прямой, а имеет физиологические изгибы в сагиттальной плоскости. Суть деротационного маневра в том, что сколиоз переводился из фронтальной плоскости в сагиттальную с помощью конструкции. Такое элегантное решение позволило резко снизить количество неврологических осложнений после операций, из-за того, что больше не происходило “растяжения” спинного мозга и нервов. Поэтому байки о том, что после операции ноги отстегнуться тянуться с 70-х.

Сегодня в подавляющем большинстве случаев для крепления конструкции к позвоночнику используют транспедикулярные винты (pedicle – ножка). Я писал о них в прошлом посте. Деформацию исправляют во всех трех плоскостях, для этого используется модернизированная техника деротационного маневра – прямая деротация позвонков, которую придумал корейский доктор Se-Il Suk (согласен, имя странное). Эта методика позволяет устранять ротацию тел позвонков. Применяют для деротации специальные устройства, которыми при желании можно завернуть позвоночник в обратный крендель.
У меня не прикрепилась гифка с демонстрацией прямой деротации, я ее постараюсь выложить в комментариях, она очень наглядная.


Крепятся такие рычаги к винтам. Они развивают очень большие усилия, поэтому коррекция сколиоза проходит под контролем нейромонитора. Тело человека как бы “прозванивается”. Специальные электроды, закрепленные на голове, пускают импульсы, которые воспринимаются электродами, которые закреплены на ногах. Дополнительно пациента “будят” во время операции, просят пошевелить своими ногами (кому интересно Stagnara wake up test), что бы успокоить паранойю хирургов и убедиться, что все хорошо.
После проведения коррекции конструкцию надежно фиксируют в нужном положении и выполняют костную пластику (мелко крошат кусочки кости, которые были удалены и засыпаю на позвоночник) для того, что бы позвонки срослись в одну кость. Дело в том, что конструкция имеет свои усталостные характеристики и всегда есть риск перелома стержней, какими бы крепкими они не были. Костный блок же надежен, его так просто не сломаешь. Даже при форсированном сгибании таза, что иногда бывает у девушек.
Видео с операции. Впечатлительным не рекомендую.
После операции остается рубец. Некоторые его даже маскируют татуировками.

Надеюсь, что я внес некоторую ясность о том, как сейчас оперируют сколиоз. Часто натыкаюсь на форумах на сообщения, в которых люди пишут, как они боятся операций на позвоночнике. Это якобы крайне опасные и калечащие операции, после которых происходит необратимая утрата движений в конечностях, а лучшим другом становится кресло-каталка. Конечно, наша медицина до сих пор не знает многих вещей о том, как развиваются болезни, и как правильней их лечить, из-за этого и возникают осложнения, да и несогласованность в медицинском сообществе. Но риск осложнений сейчас как никогда прежде низок, а стоимость оперативного лечения зачастую сравнима с общими затратами на консервативные меры.
Да, такие операции делают у нас в стране.
Совершеннолетние могут обратиться в любой из федеральных институтов травматологии и ортопедии. Несовершеннолетние – к детским ортопедам.
Операции делают бесплатно и платно. Разница в том, что бесплатную нужно ждать (как долго в условиях кризиса сложно сказать). Платная по стоимости сопоставима с Форд Фокусом. 75% стоимости – импланты, за которые пациенты платят медицинским фирмам. Остальные деньги идут в мед. учреждение на все расходы.
Прошу прощения за шакалистость некоторых картинок.
Оперативный метод лечения сколиоза
Показания
У подростков при искривлении более чем на 40-45 градусов и в случаях прогрессирования заболевания применяют хирургический метод лечения. Показанием к хирургической коррекции сколиоза является и 4 стадия болезни, когда угол искривления превышает 50 градусов. Оперативное вмешательство при данном заболевании помогает уменьшить искривление и препятствует дальнейшей деформации позвоночника.
При тяжелых формах искривления (более 50 градусов) заболевание обычно прогрессирует в зрелом возрасте. При отсутствии лечения искривление достигает 70-90 градусов, что вызывает сильную деформацию туловища, а также приводит к серьезным осложнениям в работе сердца и легких.
Хирургический метод лечения позволяет не только предотвратить дальнейшее искривление, но и избежать деформации скелета.
Наиболее эффективным является коррекция сколиоза при помощи установки на позвоночник специального металлического каркаса (имплантата). Данная конструкция представляет собой стержень на который установлены фиксаторы, передвигающиеся вдоль его оси. Для уменьшения деформации, эти фиксаторы крепятся к нужным позвонкам, благодаря чему достигается стабилизация положения позвоночника.
Благодаря такому методу происходит полное обездвиживание позвоночника, что предотвращает дальнейшее искривление. Стержень используется в качестве временной шины до полного срастания костей. Однако, из-за сложности операции его удаляют только в редких случаях (при повреждении близлежащих тканей).
Виды операций
Существуют два основных типа операций при сколиозе: операции с дорсальным и вентральным доступом.
Дорсальный (задний) доступ
Разрез делается по всей длине грудного отдела позвоночника. Это позволяет получить лучший доступ к костным элементам. Введение стержня, закрепленного крючками и шурупами, уменьшает кривизну позвоночника за счет растяжения его на большие участки. Имплантация кости (собственной кости пациента, взятой из бедра или донорской), в свою очередь, приводит к срастанию позвонков и других тканей. Срастание происходит от 3 – 6 до 12 месяцев.
При сложных формах деформации или сильном искривлении вначале требуется переднее удаление межпозвоночного диска через открытый разрез или с помощью осциллографа (торакоскопическая техника). После этого на место дискового пространства вводится кость (пациента или донорская), способствующая правильному срастанию позвонков. Удаление межпозвоночных дисков не только приводит к устранению деформации позвоночника, но и способствует улучшению синтеза. Это особенно важно, если пациент маленький ребенок, так как позвоночник ребенка постоянно растет.
Вентральный доступ (передний)
Данный метод применяют в основном при искривлениях в области грудопоясничного перехода (T12-L1). Разрез делается вдоль ребер сбоку. Такой способ требует удаления ребра (как правило, с левой стороны). Это позволяет освободить диафрагму от стенки грудной клетки и позвоночника и обеспечить доступ к грудным и поясничным позвонкам. Для коррекции в определенных сегментах удаляют м/п диски и сбоку позвонка вводят крепежные шурупы, которые присодиняются к стержню. Затем выполняется коррекция и каркас жестко закрепляется на позвоночнике. М/п диски заменяют на подготовленный костный имптантат (взятый у пациента или донорский).
Сращение дисков и тканей обычно занимает от 3 до 6 месяцев, в некоторых случаях может продолжаться и до 12 месяцев.
Преимущества данного типа вмешательства в том, что общая подвижность позвоночного аппарата не ограничена полностью. Сохранение двигательной способности особенно важно при искривлении нижней части спины (поясничный отдел позвоночника), так как при сращении дисков ниже L3 возникает риск последующего возникновения болей в спине и артрита. Сохранение двигательной активности поясничных сегментов помогает сократить нагрузку на другие сегменты движения. Еще одним преимуществом является отличный косметический результат. Низкий профиль конструкции делает ее практически незаметной на позвоночнике.
К основным недостаткам метода переднего доступа относят ограниченность области его проведения. Данная операция может быть сделана только при грудопоясничном искривлении, но большинство сколиотических искривлений располагаются в грудном отделе позвоночника.
Последствия и осложнения
Одним из осложнений во время операции является параплегия . Встречается очень редко (от 1 случая на 1000 пациентов до 1 на 10000 пациентов), но оказывает серьезные осложнения на весь организм. Чтобы исключить риск поражения спинного мозга во время операции, применяют один из двух методов диагностики:
- Соматосенсорныевызванные потенциалы (ССВП). Небольшие электрические импульсы (около 500-1000 стимулов) подаются в область нижних конечностей. Результирующие импульсы, которые отражают прохождение нервных импульсов по восходящим путям, вплоть до сенсомоторной коры, представляют результат теста. Характеристики сигналов затем сравниваются с нормативными значениями. Если фиксируется замедление сигналов во время операции, это может указывать на повреждение спинного мозга или его кровоснабжение. Другой способ контроля – метод двигательных вызванных потенциалов. В большинстве случаев во время операции прибегают к двум способам одновременно.
- «Stagnara» тест. Во время операции пациента будят и просят подвигать ногами. Пациент не чувствует никакой боли в процессе этой процедуры.
Если какой либо тест указывает на замедление импульсов мозга, возможно удаление стержня из организма и прекращение операции. К счастью, такие ситуации встречаются крайне редко.
Еще одним осложнением в процессе операции может являться кровотечение . В результате различных манипуляций повреждаются мышцы и ткани, что приводит к незначительной потере крови. В большинстве случаев хирургам удается контролировать кровотечение, однако, иногда требуется переливание крови. Поэтому еще до операции пациента просят сдать кровь, которая будет введена обратно сразу после операции.
К другим осложнениям относят :
- повреждение стержня, крючков или шурупов (редкие случаи, так как используются прочные современные материалы)
- инфекции (менее 1%)
- подтекание спинномозговой жидкости (редко)
- отторжение имплантатов (примерно от 1 до 5%)
- дальнейшее прогрессирование искривления после операции
Послеоперационный период
Пациенту, как правило, разрешается вставать на 2 – 3 сутки после операции при нормальном течении послеоперационного периода. Общее пребывание в больнице составляет от 4 до 7 дней. Детям разрешается посещать школу через 2-4 недели после операции при условии соблюдения рекомендаций врача относительно двигательной активности.
Однако, чем меньше нагрузки будет оказываться на позвоночник, тем быстрее произойдет срастание позвонков. В результате этого рекомендовано исключить сгибание, подъем тяжестей в течение первых трех месяцев после операции. Также назначаются специальные корсеты, фиксирующие позвоночник. Физическая активность противопоказана от 6 до 12 месяцев после операции.
Проводятся регулярные осмотры и рентгеновские обследования в течение 1 – 2 лет. Лечение прекращается, как только кости срастаются полностью. Женщины, перенесшие такие операции, в состоянии зачать и выносить ребенка без дополнительных вмешательств.
Способ хирургического лечения сколиоза
Изобретение относится к медицине, а именно к ортопедии и травматологии, и может быть использовано для лечения сколиоза. Выполняют ламинэктомию и вскрытие позвоночного канала. Замеряют капиллярный кровоток в спинном мозге с помощью игольчатого интраоперационного датчика на вершине деформации, краниально и каудально от нее. Выполняют дискотомию и повторно замеряют капиллярный кровоток. Вводят стержни-шурупы в позвонки, расположенные краниально и каудально от дискотомии. Производят монтаж устройства наружной транспедикулярной фиксации. При величине капиллярного кровотока до 20 мл/мин
100 г на вершине деформации и при величине кровотока от 18 до 40 мл/мин
100 г краниально от нее осуществляют дистракцию интраоперационно по вогнутой стороне не более 5 мм и проводят консервативную терапию, направленную на улучшение микроциркуляции спинного мозга. При величине кровотока на вершине деформации выше 25 мл/мин
100 г и величине кровотока в каудальном сегменте более 40 мл/мин
100 г осуществляют дистракцию от 5 до 20 мм. Способ позволяет предупреждать неврологические осложнения. 2 табл.
Изобретение относиться к медицине, а именно к ортопедии, в частности к способам хирургического лечения сколиоза, включающим интраоперационное измерение кровотока спинного мозга для прогнозирования и предупреждения неврологических осложнений при хирургическом лечении сколиоза как в процессе оперативного вмешательства, так и после него.
Известен способ интраоперационного электрофизиологического исследования состояния поврежденного отрезка и близлежащих сегментов обнаженного спинного мозга (Журавлева Н. Г. Методика интраоперационного электрофизиологического тестирования сохранности структур травматически поврежденного спинного мозга //Патология позвоночника. Сб. научн. тр. – Л. 1990. – С.54-59).
Известен способ предупреждения неврологических расстройств при хирургическом лечении больных с диспластическим сколиозом путем точной оценки строения и исследования состояния спинного мозга и позвоночника с помощью магнитного резонанса (Voronovich I.R. et. al. Peculiarities of the spinal canal state in severe scoliotic deformities \ Management of spinal disorders: ST-PETERSBURG: 1999. – P.76).
Известен способ электрофизиологической оценки послеоперационных неврологических расстройств, связанных с оперативным вмешательством и дозированными тракционными нагрузками у больных с диспластическим сколиозом при лечении аппаратом наружной транспедикулярной фиксации, в котором при хирургическом лечении сколиоза после наложения накожных электрофизиологических датчиков тестировали неврологические расстройства в послеоперационный период при дистракции аппарата наружной транспедикулярной фиксации, однако известный способ не позволяет прогнозировать и предупредить неврологические осложнения, т.к. он предусмотрен только их констатировать (Шеин А.П. и др. Электрофизиологические характеристики травматичности оперативного лечения сколиоза. Ишемия мозга. Междунар. симпозиум: Санкт-Петербург, 1997, – с.283-286).
Задачей изобретения является разработка способа лечения сколиоза в сочетании с прогнозированием и предупреждением неврологических осложнений при хирургической коррекции деформации позвоночника путем интраоперационного определения состояния кровотока спинного мозга.
Поставленная задача решается тем, что в способе лечения сколиоза, включающем наложение устройства наружной транспедикулярной фиксации и коррекцию деформации, после выполнения ламинэктомии и вскрытия позвоночного канала, используя игольчатый интраоперационный датчик, замеряют капиллярный кровоток в спинном мозге на вершине деформации, краниально и каудально от нее, затем выполняют дискотомию и повторно замеряют капиллярный кровоток, после чего вводят стержни-шурупы в позвонки, расположенные краниально и каудально от дискотомии, производят монтаж устройства наружной транспедикулярной фиксации, при величине капиллярного кровотока до 20 мл/мин
100 г на вершине деформации и при величине кровотока от 18 до 40 мл/мин
100 г краниально от нее, вводят сосудистые препараты и осуществляют интраоперационно дистракцию по вогнутой стороне не более 5 мм, а при значениях кровотока на вершине деформации выше 25 мл/мин
100 г и зачениях кровотока в каудальном сегменте более 40 мл/мин
100 г осуществляют дистракцию от 5 до 20 мм.
Патентуемое изобретение поясняют подробным описанием выполнения способа, таблицами и клиническими примерами.
Способ осуществляется следующим образом.
В операционной под интубационным наркозом проводят оперативное вмешательство. Выполняют ламинэктомию позвонков на вершине деформации. После вскрытия позвоночного канала производят измерение объемного капиллярного кровотока спинного мозга, для чего используют лазерный допплеровский флоуметр (BLF-21, “Transonic System”, США) и интраоперационный игольчатый датчик (тип N18) с диаметром иглы 1,2 мм.
Измерение объемного капиллярного кровотока спинного мозга осуществляют на вершине деформации позвоночника, краниально и каудально от нее.
Сравнение капиллярного кровотока на разных уровнях показывает (тaбл.1), что в зоне максимального изгиба спинного мозга на вершине деформации позвоночника, кровоток в среднем снижен на 39,3
3,8% относительно показателей, полученных в краниальной области и на 50,4
6,1% относительно показателей каудальной области.
Затем выполняют дискотомию одного-двух дисков на вершине искривления и повторно измеряют кровоток на вершине деформации (или в зоне максимального изгиба спинного мозга на вершине деформации позвоночника) краниально и каудально от нее. После чего вводят стержни шурупы в позвонки, расположенные краниально и каудально от дискотомии, производят монтаж устройства наружной транспедикулярной фиксации.
При значениях кровотока спинного мозга на вершине деформации до 20 мл/мин
100 г и диапазоне кровотока краниальной области от 18 до 40 мл/мин
100 г (табл.2) вводят сосудистые препараты и осуществляют дистракцию интраоперационно по вогнутой стороне не более 5 мм, с последующей фиксацией достигнутого положения позвоночника путем наложения устройства наружной транспедикулярной фиксации. При показаниях кровотока на вершине деформации выше 25 мл/мин
100 г и в каудальнем сегменте более 40 мл/мин
100 г, осуществляют дистракцию от 5 до 20 мм (также с последующей фиксацией достигнутого положения позвоночника устройством наружной транспедикулярной фиксацией).
В табл. 2 приведена зависимость показателей кровотока спинного мозга и интраоперационной дистракции позвоночника.
Клинический пример 1. Больной С., 15 лет, диагноз: Диспластический S-образный грудопоясничный сколиоз III стадии. Левосторонний реберный горб. В грудном отделе отклонение оси позвоночника влево, верпшна дуги искривления приходится на D8 – D9 позвонки, угол деформации составляет 32 o . В поясничном отделе отклонение оси позвоночника вправо, вершина дуги приходится на L3 позвонок, угол деформации -15 o .
При проведении электромиографических исследований было выявлено умеренное снижение показателей. Температурно-болевая чувствительность не нарушена.
Больному было выпотнено оперативное лечение. Операция включала ламинэктомию D10 позвонка, частичную резекцию дуг D9-D10, дискотомию D9-10, D10-11, наложение аппарата наружной транспедикулярной фиксации. В послеоперационном периоде производилась постепенная коррекция сколиоза (дистракция на вогнутой стороне).
Во время операции после ламинэктомии и вскрытии позвоночного канала производили исследование кровотока спинного мозга. Объемный капиллярный кровоток в зоне максимального изгиба спинного мозга составлял 17-18 мл/мин
100 г, выше зоны максимального изгиба – 23-25 мл/мин
100 г, ниже – 68 мл/мин
100 г. После монтажа аппарата наружной транспедикулярной фиксации интраоперационно была произведена дистракция по вогнутой стороне 5 мм. Была проведена консервативная терапия, направленная на улучшение микроциркуляции спинного мозга.
После лечения процент коррекции сколиоза в грудном отделе составлял 53%, в поясничном – 100%.
Клинический пример 2. Больная Л., 16 лет., диагноз: диспластический “С” грудной сколиоз IV степени. Правосторонний реберный горб. Вершина сколиоза располагалась на D8 позвонке. Угол деформации составил 48 o .
При электромиографическом исследовании регистрировали умеренное снижение показателей. Проведение эстезиометрии выявило снижение температурно-болевой чувствительности в 4-х дерматомах.
Операция была выполнена аналогично первому клиническому примеру. Интраоперационное исследование кровотока спинного мозга показало, что объемный капиллярный кровоток в зоне максимального изгиба составлял 28-29 мл/мин
100 г, выше изгиба 42-45 мл/мин
100 г, ниже – 41-43 мл/мин
100 г. После монтажа аппарата наружной транспедикулярной фиксации производили дистракцию по вогнутой стороне 20 мм.
Послеоперационный период протекал без особенностей. После снятия аппарата процент коррекции деформации составил 79%. Наблюдалась положительная динамика показателей электромиографии и эстезиометрии.
Предлагаемый способ хирургического лечения сколиоза позволяет уменьшить угол деформации позвоночника, прогнозировать и предупредить неврологические расстройства.
Способ лечения сколиоза, включающий наложение устройства наружной транспедикулярной фиксации и коррекцию деформации, отличающийся тем, что после выполнения ламинэктомии и вскрытия позвоночного канала замеряют капиллярный кровоток в спинном мозге с помощью игольчатого интраоперационного датчика на вершине деформации, краниально и каудально от нее, затем выполняют дискотомию и повторно замеряют капиллярный кровоток, после чего вводят стержни-шурупы в позвонки, расположенные краниально и каудально от дискотомии, производят монтаж устройства наружной транспедикулярной фиксации, при величине капиллярного кровотока до 20 мл/мин
100 г на вершине деформации и при величине кровотока от 18 до 40 мл/мин
100 г краниально от нее осуществляют дистракцию интраоперационно по вогнутой стороне не более 5 мм и проводят консервативную терапию, направленную на улучшение микроциркуляции спинного мозга, а при величине кровотока на вершине деформации выше 25 мл/мин
100 г и величине кровотока в каудальном сегменте более 40 мл/мин
100 г, осуществляют дистракцию от 5 до 20 мм.
Источники:
http://ortocure.ru/pozvonochnik/osanka/operatsiya-pri-skolioze.html
http://apromed.info/xirurgiya/travmotologija-ortopedija/pozvonochnik/operativnoe-lechenie-pozvonochnika/pokazaniya-k-operativnomu-lecheniyu-skolioza.html
http://orto-cure.ru/operacija-pri-skolioze-podgotovka-provedenie-i-vozmozhnye-posledstvija/
http://pikabu.ru/story/operatsiya_pri_skolioze_4042819
http://abromed.ru/diseases/spine/skolioz/surgery/
http://findpatent.ru/patent/220/2201129.html
http://fiziotera.ru/lfk-sutulost/

